Đặc điểm hình ảnh XQuang Viêm phổi do Corona Virus
ĐẶC ĐIỂM HÌNH ẢNH XQUANG VIÊM PHỔI DO CORONA VIRUS
GS.TS.Đỗ Quyết1, GS.TS. Phạm Minh Thông2, PGS.TS. Tạ Bá Thắng1, TS.Phạm Ngọc Thạch3, PGS.TS. Mai Xuân Khẩn1, TS. Nguyễn Minh Hải1, TS. Đào Ngọc Bằng1 , Ths. Nguyễn Tuấn Anh3.
(1Học viện Quân y, 2Bạch viện Bạch Mai,3Bệnh viện nhiệt đới trung ương)
1. Đại cương
Virus là nguyên nhân phổ biến nhất của nhiễm trùng đường hô hấp cấp tính,và tác nhân gây nhiễm trùng đường hô hấp dưới thay đổi tùy theo tuổi bệnh nhân và khả năng miễn dịch của cơ thể cảm thụ. Mặc dù hầu hết các nhiễm trùng đường hô hấp cấp tínhdo virus ở những người không bị suy giảm miễn dịch đều tự giới hạn, tuy nhiên ở một số bệnh nhân có thể phát triển viêm phổi nặng. Các biểu hiện lâm sàng của hầu hết các nhiễm trùng đường hô hấp cấp tínhdo virus làgiống nhau. Chụp cắt lớp vi tính (CT) viêm phổi do virus rất đa dạng và có thể bị ảnh hưởng bởitình trạng miễn dịch của cơ thể và rối loạn sinh lý bệnh do virus,hơn nữa, đồng nhiễm với vi khuẩn là phổ biến. Do vậy vấn đề chẩn đoán viêm phổi virus trên lâm sàng và hình ảnh Xquang gặp nhiều khó khăn. Để góp phần tăng khả năng phân tích chẩn đoán hình ảnh Xquang trong viêm phổi virus trên thực hành lâm sàng, chúng tôi xin tổng hợp lại một số kiến thức về hình ảnh Xquang trong viêm phổi do virus nói chung và do corona virus nói riêng.
Chủng corona virus mới 2019(2019 - nCoV) đang gây dịch viêm đường hô hấp cấp tại Vũ Hán (Trung Quốc) là một chủng mới phát hiện. Tuy nhiên chủng virus này có mối quan hệ mật thiết với chủng virus gây đại dịch SARS (Severe Acute Respiratory Syndrome) năm 2003 và dịch MERS (Middle East Respiratory Syndrome) năm 2012, nằm trong nhóm “bệnh truyền nhiễm mới nổi-Emerging Infectious Diseases (EIDs)” gây ra bởi nhiều nguyên nhân đặc biệt là virus [1].
1.1. Sơ lược về cơ chế bệnh sinh viêm phổi do virus
Virus xâm nhập vào đường hô hấp sẽ sao chép trong biểu mô vòm họng, lan đến phổi vàgây ra viêm tiểu phế quản với sự bong tróc tế bào biểu mô của các của đường dẫn khí nhỏ, gây ra một loạt phản ứng viêm tại phổi. Virus cúm xâm nhập lan tỏa tại biểu mô đường hô hấp, dẫn đến viêm hoại tử các tiểu phế quản và tổn thương phế nang lan tỏa, biểu hiện là đông đặc nhu mô phổi. Adenovirus ảnh hưởng đếncác tiểu phế quản tận và gây viêm tiểu phế quản, có thể đi kèm với viêm phế quản - phổi hoại tử.
Cơ chế tổn thương đường hô hấp do corona virus:
- SARS coronavirus: tăng tính thấm thành mạch do virus có thụ thể Angiotensin-converting enzyme 2 ảnh hưởng đến điều hòa hệ renin-angiotensin. Angiotensin-converting enzyme 2 trình diện nhiều ở phổi và thận, SARS gây cảm ứng enzyme này gây tổn thương nhu mô phổi lan tỏa. Gen mã hóa Proteins của SARS coronavirus (SARS coronavirus-encoded proteins) thúc đẩy quá trình gây chết tế bào theo chương trình (apoptosis)ở phổi, gan, thận.
- MERS coronavirus có thể trốn tránh đáp ứng miễn dịch (immune response) và gây nên rối loạn nặng quá trình điều hòa sao chép của tế bào ở cơ thể bị nhiễm dẫn đến tăng chết tế bào theo chương trình, gây tổn thương lan tỏa ở phổi và các cơ quan [2], [3].
1.2. Tổn thương giải phẫu bệnh của viêm phổi virus
Virus có thể dẫn đến một số dạng tổn thương của đường hô hấp bao gồm viêm khí quản, viêm phế quản và viêm phổi. Viêm phổi tổ chức hóa là một phản ứng sửa chữa không đặc hiệu có thể thấy trong một loạt ca lâm sàng. Hầu hết các virus đường hô hấp làm tổn thương tế bàotrực tiếp thông qua ly giải tế bào hoặc ức chế tế bào của cơ thể tổng hợp RNA, protein và DNA.
Virus cúm ảnh hưởng lan tỏa đến tế bào biểu mô và trong trường hợp nặng dẫn đến viêm phế quản hoại tử và/ hoặc viêm tiểu phế quản và tổn thương phế nang lan tỏa.Đặc điểm mô bệnh học là hoại tử biểu mô đường thở với viêm mạn tính dưới niêm mạc. Viêm phổi nặng tổn thương kết hợp giữa viêm tiểu phế quản hoại tử vớitổn thương phế nang lan tỏa, có thể có xuất huyết.
Adenovirus có tác động lớn nhất đến các tiểu phế quản tận và có thể tạo ra viêm tiểu phế quản hoặc giãn phế quản. Viêm tiểu phế quản có thể bị hoại tử và dẫn đến viêm phế quản hoại tử tương tự như ở bệnh nhân nhiễm herpes simplex nặng.
Hội chứng hô hấp cấp tính nặng (SARS) gây tổn thương phế nang lan tỏa, đặc trưng mô bệnh học là phù nề tổ chức kẽ và đông đặc các phế nang trung tâm (phù tổ chức kẽ, fibrin,thâm nhiễm tế bào, xuất huyết trong phế nang) [2].

Hình 1: Tổn thương phổi ở bệnh nhân SARS (vách phế nang: Mất biểu mô và được thay bằng màng hyaline; Phù các vách phế nang (mũi tên) [2]
2. Đặc điểm tổn thương Xquang viêm phổi do virus
2.1. Đặc điểm chung của tổn thương
Tổn thương Xquang phổi phụ thuộc vào một số yếu tố liên quan người bệnh như tuổi và tình trạng đáp ứng miễn dịch. Các yếu tố nguy cơ liên quan đến tần xuất và mức độ tổn thương nặng bao gồm: người già, trẻ em, suy dinh dưỡng và suy giảm miễn dịch.
Hình ảnh Xquang có giá trị định hướng chẩn đoán bệnh và đánh giá mức độ nặng (dựa vào diện tổn thương), đánh giá các biến chứng hô hấp (tràn dịch, khí màng phổi), theo dõi đáp ứng điều trị và chẩn đoán phân biệt (viêm phổi do các nguyên nhân khác). Chỉ bằng hình ảnh Xquang, rất khó để chẩn đoán phân biệt giữa viêm phổi do virus với một số căn nguyên vi sinh khác (vi khuẩn không điển hình, nấm…), do vậy khi phân tích hình ảnh Xquang phải luôn kết hợp với đặc điểm dịch tễ, biểu hiện lâm sàng để đưa ra định hướng chẩn đoán phù hợp.
Tổn thương trên Xquang ngực của viêm phổi do virus có thể gồm các loại tổn thương:
- Tổn thương tổ chức kẽ: hình ảnh lưới mờ, kính mờ (Ground-glass opacity GGO), đường kerley (phù tổ chức kẽ)
- Nốt mờ, bóng mờ khu trú hay lan tỏa
- Đông đặc nhu mô khu trú hay lan tỏa.
Bảng 1: Phân bố các tổn thương trên Xquang theo một số virus [2]
|
Viêm phổi do virus
|
Giảm thông khí nhu mô
|
Kính mờ và đông đặc
|
Nốt mờ, bóng mờ
|
Dày vách liên thùy
|
Dày thành phế quản
|
Khác
|
|
Cúm A
|
|
+++
|
+++
|
|
|
|
|
Adenovirus
|
|
++
|
|
|
+++
|
|
|
Corona virus
|
|
+++
|
|
+++
|
|
Hình ảnh lát đá
|
Đặc điểm chung của tổn thương trên Xquang của viêm phổi virus:
- Tổn thương phụ thuộc vào giai đoạn bệnh: giai đoạn sớm hình ảnh Xquang có thể bình thường.
- Tổn thương chủ yếu gồm tổn thương cả tổ chức kẽ kết hợp với đông đặc nhu mô phổi.
- Tổn thương thường lan tỏa, hay ở ngoại vi, thùy dưới 2 bên, ít có phá hủy
- Tổn thương thường tiến triển nhanh, khi khỏi có thể để lại xơ phổi 2 bên.
Một số hình ảnh tổn thương của viêm phổi virus:
- Hình ảnh kính mờ: là tổn thương đông đặc không hoàn toàn, có tỷ trọng cao hơn nhu mô phổi xung quanh vẫn có thể thấy đường bờ các mạch máu hoặc phế quản bên trong tổn thương đó [2], [3].

A: Hình mờ nhạt nền phổi phải (hình ảnh kính mờ) [2]

B. CLVT độ phân giải cao:tăng tỷ trọng nhẹ vùng tổn thương, vẫn có hình động mạch và phế quản bình thường bên trong [2]
- Hình ảnh nốt mờ: là những hình mờ có đường kính dưới 3cm, dạng hình tròn, có thể đơn độc, có thể rải rác trong nhu mô phổi. Các nốt phổi thường có ranh giới rõ, được bao quanh bởi nhu mô phổi và không liên tục với rốn phổi hay trung thất [2], [3].

B: Hình nốt mờ trên CLVT (hình mũi tên) [2]

A: Hình nốt mờ trên XQ phổi thẳng (mũi tên) [2]
- Hình ảnh chồi cây (tree-in bud): gặp trong các tổn thương tại đường thở nhỏ, phản ánh tình trạng tắc nghẽn phế quản trung tâm tiểu thùy bời đờm, dịch…, thường gặp ở viêm phế quản ngoại vi [2], [3].

Hình ảnh chồi cây sát màng phổi trái (đầu mũi tên) [2]
- Hình ảnh dày thành phế quản: là những tổn thương thể hiện thành của phế quản dày lên, do có sự tích tụ dịch hay chất nhày xung quanh thành phế quản, trong mô kẽ [2], [3].


Hình ảnh dày thành phế quản trên Xquang ngực quy ước và CLVT (đầu mũi tên) [2]
- Hình ảnh dày vách liên thùy: liên quan đến dịch rãnh liên thùy, thâm nhiễm tế bào hoặc xơ hóa. Trong viêm phổi do virus, dày các vách liên thùy gặp trong tổn thương lan tỏa trong ARDS [2], [3].

Hình ảnh dày vách liên thùy trên CLVT (hai bên) [2]
- Hình ảnh hội chứng suy hô hấp cấp tính (ARDS): Dấu hiệu X quang của ARDS thay đổi theo giai đoạn của bệnh. Dấu hiệu phổ biến nhất đó là tổn thương đông đặc cả hai bên phổi, không cân xứng, chủ yếu ở ngoại vi của phổi. Các đường Kerley (Kerley lines) hay tràn dịch khoang màng phổi ít gặp trong ARDS. Cần chẩn đoán phân biệt ARDS với các loại viêm phổi hít, xuất huyết phế nang và phù phổi do các nguyên nhân [2], [3].

Hình ảnh ARDS (bên trái) và sau điều trị [3]
2.2. Đặc điểm Xquang viêm phổi do một số virus
2.2.1. Đặc điểm tổn thương viêm phổi do SARS corona virus:
- Giai đoạn sớm Xquang ngực bình thường
- Tiến triển nhanh xuất hiện đông đặc nhiều thùy, ưu thế thùy dưới
- Tổn thương ưu thế ngoại vi phổi
- Hiếm khi có hang, hạch rốn phổi hoặc tràn dịch màng phổi [4], [5], [6].
Một nghiên cứu hồi cứu trên 62 trẻ em mắc bệnh SARS ở Canada, Singapore và Hồng Kông cho thấy 35,5% có hình ảnh x quang ngực bình thường. Các dấu hiệu tổn thương chủ yếu ở những trẻ còn lại đó là các tổn thương đông đặc (kính mờ, hoặc nốt mờ khu trú hay đa ổ, mờ thùy phổi) chiếm 45,2%. Các tổn thương này thường ở ngoại vi và ở thùy dưới. Dày thành phế quản ghi nhận ở tỷ lệ 14,5%; Không có trường hợp nào có tổn thương hạch. Theo các tác giả hình ảnh Xquang có 2 vai trò chính trong chẩn đoán bệnh SARS: (1) mô tả tổn thương phổi liên quan đến bệnh SARS. (2) Xquang cho biết các đặc điểm của các bệnh nhiễm khuẩn hay các bệnh u hạt mạn tính khác. Các tổn thương tràn dịch khoang màng phổi số lượng nhiềuhay tràn khí khoang màng phổi, áp xe phổi, tạo hang, tổn thương hạch ít gặp trong bệnh SARS. Một nghiên cứu trên 13 nhân viên y tế mắc SARS cho thấy có 3 dấu hiệu về hình ảnh: Dấu hiệu thứ nhất, cũng là phổ biến nhất (79,6%) là tổn thương phế nang khu trú vùng ngoại vi, sau đó sẽ dần hồi phục. Dấu hiệu thứ hai: 15.4% bệnh nhân ban đầu không phát hiện thấy tổn thương trên phim Xquang, sau đó xuất hiện tổn thương phế nang khu trú. Dấu hiệu thứ 3 là viêm phổi tròn, đây cũng là dấu hiệu ít gặp (chiếm 7,7%). Tổn thương cả hai bên phổi được ghi nhận ở 53,8% số bệnh nhân. Tất cả các bệnh nhân đều tổn thương thùy giữa và thùy dưới. Có 46,2% có kèm theo thâm nhiễm cả thùy trên của phổi. Không có bệnh nhân nào có dày màng phổi, tràn dịch màng phổi, các bệnh lý về hạch hoặc tạo hang [4].

Hình ảnh Xquang của bệnh nhân SARS khi nhập viện (tổn thương ARDS) (a) và sau khi khỏi (xơ lan tỏa 2 phổi) (b) [3]

Hình ảnh CLVT của bệnh nhân SARS khi nhập viện [3]
(hình ảnh đông đặc thùy dưới 2 phổi)


Hình ảnh Xquang quy ước của bệnh nhân SARS khi nhập viện (đông đặc thùy dưới phải) (a) và sau 8 ngày điều trị (hết đông đặc phổi) (b) [3]
2.2.2. Đặc điểm tổn thương viêm phổi do MERS corona virus:
- Tổn thương ở nền và ngoại vi phổi với hình ảnh kính mờ và đông đặc lan tỏa
- Ít khi có hang
- Tràn dịch và tràn khí màng phổi thường gặp ở bệnh nhân nặng, tử vong.
- Sau hồi phục tổn thương xơ vẫn còn [3]

Hình ảnh tổn thương trên xquang quy ước và CLVT của bệnh nhân viêm phổi do MERS corona virus (Hình ảnh nốt, kính mờ và đông đặc xen kẽ nhau) (Mũi tên) [3]

Hình ảnh tổn thương trên CLVT của bệnh nhân viêm phổi do MERS corona virus (Hình ảnh nốt, kính mờ và đông đặc xen kẽ nhau) (Mũi tên) [3]
2.2.3. Đặc điểm tổn thương viêm phổi do 2019-nCoV
Các tổn thương do viêm phổi chủng Corona mới năm 2019 trên hình ảnh Xquang cũng tương tự như những tổn thương phổi do nguyên nhân virus và những tổn thương do SARS hay MERS gây nên. Do mới xuất hiện nên còn có những dấu hiệu chưa được thống kê đầy đủ. Tuy nhiên bước đầu qua các trường hợp nhiễm bệnh, một số đặc điểm tổn thương trên Xquang của nCoV bao gồm: 75% bệnh nhân có tổn thương đông đặc cả 2 bên, 25% bệnh nhân có tổn thương 1 bên. Có 14% bệnh nhân có nhiều đốm mờ và hình ảnh kính mờ; Chỉ 1% bệnh nhân có tràn khí màng phổi. Các tổn thương tiến triển nhanh, lan rộng [1], [8], [9], [10].
- Với bệnh nhân đầu tiên người Mỹ: Trên phim X quang ở ngày thứ 7 sau khởi phát vẫn chưa có biểu hiện bất thường. Sau đó đến ngày thứ 9, xuất hiện đám mờ ranh giới không rõ ràng ở nền phổi trái. Dấu hiệu X quang này phù hợp với tình trạng hô hấp khi độ bão hòa oxy xuống 90%. Chụp lại X quang ở ngày thứ 10 cho thấy tổn thương rõ ràng hơn ở cả hai nền phổi. Đó là những tổn thương đông đặc phổi và Bệnh nhân khi đó cần phải thở oxy hỗ trợ 2l/p [7].

Hình ảnh X quang ngày 9 (tổn thương lưới và đông đặc nền phổi 2 bên) [7]

Hình ảnh X quang ngày 10 (hết tổn thương nền phổi 2 bên) [7]
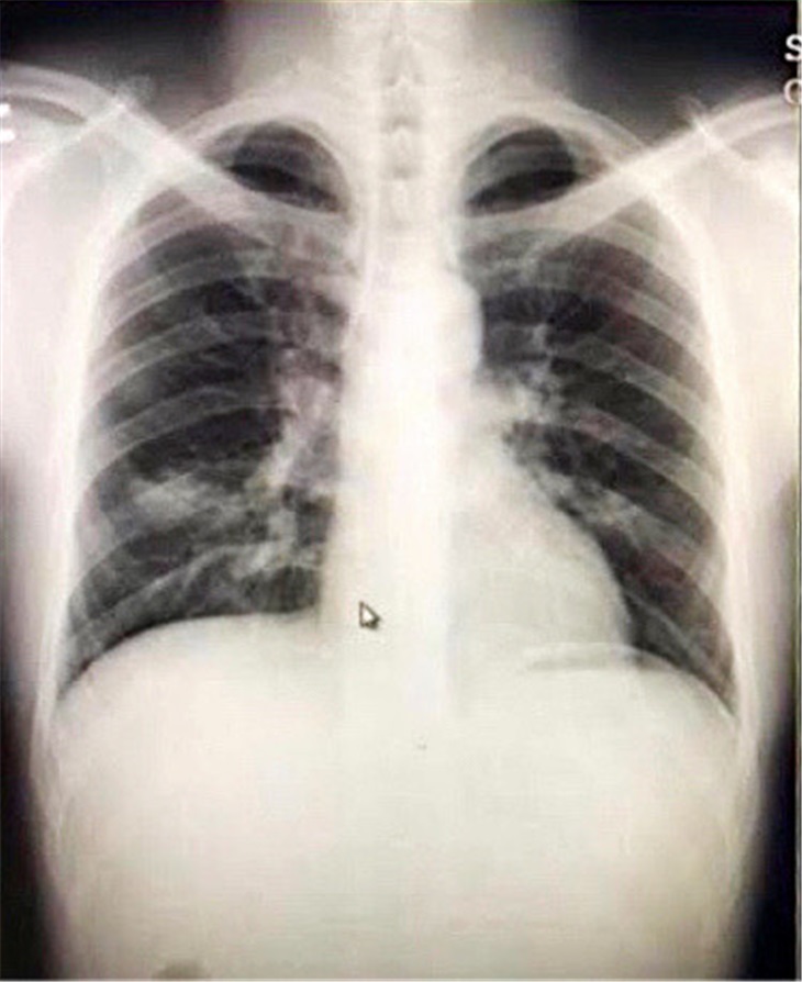
- Hình ảnh Xquang bệnh nhân viêm phổi do 2019-nCoV ở Vũ Hán:


Hình ảnh Xquang ban đầu (a) và sau 8 ngày (b) (hình ảnh ARDS) [1]
- Bệnh nhân viêm phổi do 2019-nCoV tại Việt Nam: bệnh nhân nam 65 tuổi có bệnh nền tăng huyết áp, tiểu đường, bệnh động mạch vành, hình ảnh X quang khi nhập viện có đám mờ ranh giới không rõ vùng giữa và đỉnh phổi trái, ranh giới không rõ. Sau 3 ngày các đám mờ khu trú, ranh giới rõ ở phổi trái [11].

Hình ảnh bệnh nhân nhập viện (đông đặc thùy trên phổi trái) (A) và sau 3 ngày (đông đặc phổi trái lan rộng hơn) (B) [11]

Hình ảnh Bệnh nhân T.C.P. 29 tuổi viêm nền phổi phải do 2019-nCoV

Hình ảnh Bệnh nhân P.V.C. kính mờ nửa dưới 2 phổi do 2019-nCoV

Hình ảnh tổn thương bệnh nhân viêm phổi do 2019- nCoV: A, Tổn thương hình kính mờ ở phân thùy sau thùy trên phổi phải và phân thùy đỉnh dưới của thùy trên phổi trái .B, Sau 3 ngày tổn thương kính mờ tiến triển rộng hơn [10].
3. Kết luận
Hình ảnh tổn thương phổi do virus bao gồm các dấu hiệu không đặc hiệu. Ở giai đoạn sớm hình ảnh X quang có thể bình thường. Các dấu hiệu hay gặp là tổn thương dạng kính mờ, đông đặc ở ngoại vi, thùy dưới của phổi. Ít khi gặp dấu hiệu tạo hang hay tràn dịch, tràn khí màng phổi. Các tổn thương trên phim tiến triển nhanh. Nếu không điều trị kịp thời có thể nhanh chóng dẫn đến suy hô hấp cấp tính. Nếu tiến triển tốt các tổn thương nhanh chóng mất đi, có thể để lại các tổn thương xơ hai phổi.
Tài liệu tham khảo
- Nanshan Chen, Min Zhou, Xuan Dong et al. Epidemiological and clinical characteristics of 99 cases of2019 novel coronavirus pneumonia in Wuhan, China: a descriptive study. www.thelancet.com Published online January 29, 2020 https://doi.org/10.1016/S0140-6736 (20) 30211-7.
- Tomás Franquet, MD, PhD. Imaging of Pulmonary Viral Pneumonia. Radiology: Volume 260: Number 1—July 2011.
- Hyun Jung Koo, Soyeoun Lim, Jooae Choe, Sang-Ho Choi, Heungsup Sung. Radiographic and CT Features of Viral Pneumonia. Radiographic 2018, Vol 38, No.3.
- Babyn PS, Chu WC, Tsou IY, et al. Severe acute respiratory syndrome (SARS): chest radiographic features in children. Pediatr Radiol. 2004 Jan. 34(1): 47-58.
- Antonio GE, Wong KT, Chu WC, et al. Imaging in severe acute respiratory syndrome (SARS). Clin Radiol. 2003 Nov. 58(11): 825-32.
- Bitar R, Weiser WJ, Avendano M, et al. Chest radiographic manifestations of severe acute respiratory syndrome in health care workers: the Toronto experience. AJR Am J Roentgenol. 2004 Jan. 182(1): 45-8.
- Michelle L. Holshue, M.P.H., Chas DeBolt, M.P.H., Scott Lindquist, M.D., Kathy H. Lofy et al. First Case of 2019 Novel Coronavirus in the United States. The new England journal of Medicine. 2020. January 31.
- Na Zhu, Ph.D., Dingyu Zhang, Wenling Wang, Xingwang Li, et al., A Novel Coronavirus from Patients with Pneumonia in China, 2019, The New England Journal of Medicine, January 29, 2020.
- P.-X. Lu, B.-P. Zhou (eds.), Diagnostic Imaging of Emerging Infectious Diseases, Springer Science+Business Media Dordrecht and People’s Medical Publishing House 2016.
- Junqiang Lei, MD, Junfeng Li, MD, Xun Li, MD, Xiaolong Qi. MDCT Imaging of the 2019 Novel Coronavirus (2019-nCoV) Pneumonia; Radiology 2020; 00:1.
- Lan T. Phan, Thuong V. Nguyen, Quang C. Luong, Thinh V. Nguyen, Hieu T. Nguyen, et al, Importation and Human-to-Human Transmission of a Novel Coronavirus in Vietnam, The New England Journal of Medicine, January 28, 2020.
Tin khác
Nhân kỉ niệm 66 năm ngày Thầy thuốc Việt Nam (27/2/1955 – 27/2/2021), tập thể lãnh đạo, CBGV, HVSV t...
Những đột phá trong kỹ thuật hình ảnh đã cho phép các nhà nghiên cứu quan sát cận cảnh các gai của v...
Bệnh viện đại học George Washington, Mỹ đã công bố một video cho thấy hai lá phổi bị tổn thương nghi...
Bộ Y tế vừa công bố danh sách hàng trăm cơ sở khám chữa bệnh trên cả nước có khả năng thu dung, điều...
Cục trưởng Quản lý Khám Chữa bệnh, Bộ Y tế, Lương Ngọc Khuê xác định bé gái ở Vĩnh Phúc lây virus từ...
Viện Vệ sinh Dịch tễ Trung ương ngày 7/2 công bố đã nuôi cấy và phân lập thành công virus corona mới...
Khi phát hiện vật thể lạ xâm nhập, hệ miễn dịch sẽ giải phóng một loại protein gọi là interferon để ...
Người bệnh được xác định dương tính với nCoV sẽ được miễn phí nằm viện, thuốc điều trị, chi phí xét ...
MỸNghiên cứu mới cho thấy nCoV tấn công tế bào của người bệnh qua thụ thể ACE2, tương tự với virus g...
Ngày 15/10/2019, Bộ Y tế đã có Quyết định số 4815/QĐ-BYT về Phê duyệt tài liệu “Chuẩn năng lực cơ bả...